adem(台湾地区多名儿童感染新冠后出现脑炎,是感染后的新症状吗?)
澎湃新闻记者 贺梨萍
我国台湾地区多名儿童感染新冠后出现脑炎牵动人心。截至6月7日,台湾地区12岁以下儿童新冠重症累计39例,分别有17例脑炎、8例肺炎、3例败血症、4例哮喘,其中17人死亡。
成大医院小儿胸腔暨重症科主任王玠能表示,岛内确诊儿童出现多起神经学重症,特别是严重脑病变、急性脑炎、猛爆性脑水肿,这是境外经验较为少见的,医界需探讨背后原因。
事实上,儿童感染新冠病毒后出现脑炎并非“境外经验较为少见”。澎湃新闻(www.thepaper.cn)记者翻阅儿科领域的国际期刊《儿科杂志》(JOURNAL OF PEDIATRICS)发现,其最新一期便有关于儿童新冠感染后出现中枢神经系统炎症的研究。

前述研究收集了巴黎地区12家医院转诊到Necker-Enfants Malades医院的19例感染新冠后出现中枢神经并发症的儿童病例。研究团队包括法国巴黎大学Necker-Enfants Malades医院儿科神经内科、法国勒库德雷路易斯巴斯德医院儿科、法国普瓦西CHIPS医院儿科、法国索邦大学Pitié-Salpétrière医院免疫学部门、美国纽约洛克菲勒大学洛克菲勒分校圣吉尔斯传染病人类遗传学实验室等。
该研究确定了19名有 SARS-CoV-2 感染史并表现出多种中枢神经系统(CNS)炎症性疾病的儿童。他们的症状包括脑病、小脑共济失调、急性播散性脑脊髓炎(ADEM)、视神经脊髓炎谱系障碍 (NMOSD) 或视神经炎。
该研究显示,所有患者都有SARS-CoV-2暴露史或核酸检测阳性。在神经系统疾病发作时,8名儿童的新冠病毒核酸检测仍是呈阳性(鼻咽拭子)。58%的患儿(11人)脑脊液异常,74%的儿童(14人)出现MRI异常。
研究者在21%的儿童(4人)身上的髓鞘-少突胶质细胞(MOG)和水通道蛋白4(AQP4)中发现了一种“自身抗体”(autoantibody)共同触发因素。有6名儿童中枢神经系统炎症伴随儿童多系统炎症综合征(MIS-C),但均未发现自身免疫性抗体。89%的患者(17人)接受了抗炎治疗,主要是高剂量的甲基强的松龙注射。截至目前,所有患儿都都已康复且未复发。
此前,临床医生发现成年人感染新冠病毒后,其症状最初多表现在呼吸系统,从无症状感染到严重的呼吸衰竭。但随后,关于神经系统并发症的报道越来越多,包括非特异性头痛、谵妄、头晕和中风。而感染后出现的脑炎、急性播散性脑脊髓炎(ADEM)、视神经炎等严重炎症性中枢神经系统(CNS)相对少见。
相对而言,感染新冠病毒儿童病程通常不太严重,呼吸道症状相比成人要轻一些。但是儿童多系统炎症综合征(MIS-C)却又是儿童感染新冠后比较独特的一种表现,估计每10000名受感染儿童会有1-2人出现MIS-C。一些MIS-C患者还存在神经系统炎症性疾病。
研究者对2020年1月1日至2021年7月1日期间转诊至法国巴黎Necker-Enfantsmalades医院的儿科患者进行了回顾,筛选出了感染新冠病毒六周之内出现中枢神经系统炎症的19名儿童。
患儿的中位年龄为8.7岁(1.4岁–15.3岁),其中12名女孩,7名男孩。在入院前,所有儿童此前都没有严重感染、疫苗并发症或潜在神经系统异常病史。一名儿童有全身性幼年特发性关节炎病史,多年未接受治疗。另一名儿童患有镰状细胞病,并在SARS-CoV-2感染前2周接受了骨髓移植。所有儿童都未接种过SARS-Cov-2疫苗(当时尚未批准)。19名儿童中有6名没有表现出任何SARS-CoV-2感染症状,另外13名儿童出现发烧、腹痛、腹泻、头痛和/或虚弱症状(包括MIS-C)。
其中6名儿童出现MIS-C,10名儿童出现小脑症状(共济失调、头晕),9名认知功能受损或意识改变。其他零星症状是视力丧失、感觉异常或感觉过敏、括约肌障碍或面瘫。研究者在神经系统症状发作后的中位时间为8天(0至17天)对所有患者进行脑脊液常规检验(CSF)。
19名儿童中有11名出现多细胞增多症(中位数23白细胞/μL,最大300,以淋巴细胞或中性粒细胞为主)。单核细胞增生李斯特菌PCR、巨细胞病毒、肠道病毒、单纯疱疹病毒1和2、人疱疹病毒6、副胆囊病毒和水痘-带状疱疹病毒在所有儿童的脑脊液中均为阴性。19例患者中只有1例脑脊液常规检验出现蛋白升高,≥50mg/dL。在10名测试患者中的2名患者中鉴定出脑脊液寡克隆区带(判断鞘内免疫球蛋白合成的金标准)。在对9名患者进行测试时,脑脊液中的干扰素α分泌始终为阴性。在9名患者中测量了脑脊液中的细胞因子(IL1、IL6、IL10、TNF),其中3名患者异常:2名儿童中存在单一的IL6升高(1118和1551pg/ml,正常值200倍);一名儿童的所有3种细胞因子增加≤10倍正常值。
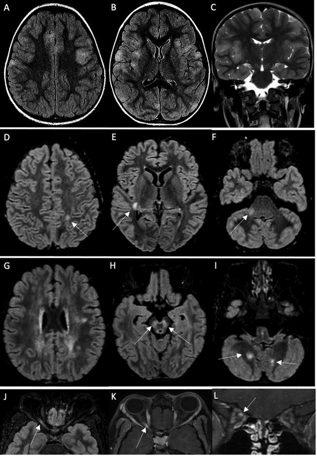
19名患者中有14名MRI异常。4例MRI显示ADEM伴有多灶性脑损伤,1例伴有视神经炎;3例显示胼胝体细胞毒性病变(CLOCC综合征),胼胝体压部扩散受限,T2-FLAIR高信号,2例小脑炎;1例分别显示孤立性视神经炎、孤立性面神经炎和多发性神经炎。19例脊柱MRI中有5例异常:5例显示脊髓炎,其中3例与ADEM相关,1例为孤立性,1例与马尾神经根的对比增强相关。所有脊髓炎病例均显示超过3个椎体受累。

10名测试儿童中有4名的血清中抗MOG(髓鞘少突胶质细胞)和抗AQP4(水通道蛋白4)抗体呈阳性。AQP4主要临床意义在于诊断视神经脊髓炎。MOG的糖蛋白是髓鞘膜和少突胶质细胞表面最外层的膜蛋白,是导致多发性硬化(MS)脱髓鞘的关键成分,针对MOG的抗体能够在体内和体外造成脱髓鞘。
一名抗AQP4抗体阳性的女孩14岁,无既往明显病史,她有单独的右眼视觉症状,其他神经系统检查正常,临床诊断为视神经炎,脑部MRI显示视神经炎无脑部或脊柱异常。其他3名抗MOG抗体阳性的儿童分别为1.5岁、4岁和10岁,其中男孩2人。这3例病例均未出现MIS-C症状,二十出现神经系统症状(2人共济失调,1人癫痫发作、意识丧失、面瘫和偏瘫)。其中的第3名患者进入重症监护室。

事实上,新冠病毒感染后导致神经系统炎症的报道近来颇受关注。来自荷兰鹿特丹大学医学中心的最新研究显示,长新冠患者的这些症状与大脑神经的炎症水平有关。研究团队跟踪重要的大脑炎症标记物,通过影像学手段证明长新冠患者存在严重的神经炎症。

来自荷兰鹿特丹大学研究团队在论文《Long COVID is associated with extensive in-vivo neuroinflammation on [18F]DPA-714 PET》中写道,尽管在新冠感染的急性期,新冠病毒主要影响呼吸系统,但其长期影响则主要是神经系统。最常报告的症状是疲劳、嗅觉丧失、味觉障碍和认知问题。即使在初始(呼吸道)症状相对较轻的患者中,这些症状也会在感染后持续数月。按照美国CDC的数据,有五分之一的新冠患者出现了长新冠症状。然而,人们对这些使人衰弱的症状及其长期影响的病理生理学知识仍然非常缺乏。
该研究聚焦于小胶质细胞,这是定居在脑内的吞噬细胞,在炎症刺激下,其抗原性增强,形态伸展,功能活跃。有炎症发生时,小胶质细胞能迅速增殖,增加或重新表达MHC抗原,迁移并变化成吞噬细胞样形态(阿米巴样)同时爆发性分泌大量细胞因子和细胞毒性物质。
小胶质细胞在脑内各部分均有分布,在灰质中的数量比在白质中的多5倍。海马、嗅叶和基底神经节的小胶质细胞比丘脑和下丘脑的多,而脑干与小脑中最少。小胶质细胞广泛认为是中枢神经系统内的主要免疫效应器,参与诸如HIV脑病、帕金森病、阿尔兹海默病(老年痴呆症),多发性硬化等人神经系统紊乱疾病。
该研究采用了正电子发射断层扫描(PET)观察了长新冠患者大脑中的[18F]DPA-714水平,从而评估了患者大脑神经中小胶质细胞激活炎症。[18F]DPA-714是PET示踪剂,是一种高亲和力转运体蛋白(TSPO,一种在脑中活化的小胶质细胞和巨噬细胞中表达的线粒体外膜蛋白,作为神经炎症标志物)配体。[18F]DPA-714可用于评估各种神经炎症模型和脑肿瘤模型中的炎症特异性成像。
荷兰鹿特丹大学研究中的第一名长新冠患者是50多岁的荷兰女性,感染前身体健康、全职工作并过着充实的生活。她于2020年12月核酸检测阳性,在感染的急性期,她没有住院,也不需要治疗。自从感染以来,她出现了严重的疲劳、注意力不集中、嗅觉丧失和嗅觉异常、头痛和一些视力问题。她的症状使她无法工作,她症状一直持续至今,也就是感染后15个月。
研究中的第二名长新冠患者一名60多岁的荷兰男性,感染SARS-CoV-2之前身体健康、全职工作。他于2020年3月核酸检测阳性。在SARS-CoV-2感染的急性期,他在护理病房住院了15天。10天后,他因呼吸问题住进重症监护室(ICU),时间为一天。在住院期间,他接受了标准药物治疗。自感染以来,他患有严重的疲劳和注意力不集中,并且无法工作。尽管此后情况有所改善,但他的症状一直持续至今,也就是感染后24个月。
研究者对2名长新冠患者进行了动脉血样动态60分钟[18F]DPA-714PET扫描。为了评估示踪剂代谢,研究者将两名长新冠患者血液中的[18F]DPA-714代谢物与所有其他可用受试者的血液中的代谢物进行了比较。他们评估了全血中的活性浓度,校正了来自动脉血样本的注射活性和示踪母体分数。
研究发现,长新冠患者1在所有脑区的[18F]DPA-714结合严重升高。其2T4k_VB模型获得的全脑灰质定量BPND(=k3/k4)相对于健康对照受试者平均增加了121%。长新冠患者2的[18F]DPA-714结合也升高了,从2T4k_VB模型获得的全脑灰质BPND(=k3/k4)相对于健康对照受试者平均增加79%。

责任编辑:李跃群
校对:刘威
-
黄鳝女主播多大(“黄鳝门”事件侦破始末公开,涉事女主播两个月赚9万)2017年3月,一个被称为“黄鳝门”的事件一度被炒作成为一个沸沸扬扬的网络热点:直播平台上一名女主播把黄鳝塞入自己下体的淫秽色情视频引起网民热议, “黄鳝女”一时成为网络热搜关键词,虽然大多数的网站对视频的内容进行了封禁,但“黄鳝门”依旧成为...
-
两女主播拼酒视频(网红主播“三千哥”之死:拼酒直播为何没完没了)据多家媒体消息,5月17日凌晨,某知名短视频社交平台主播“三千哥”在直播时因饮酒过量而去世。5月21日中午,三千哥的朋友赵龙向新京报记者证实了此事,“我去参加了他的葬礼,这两天都没有睡好。”观看了三千哥5月17日凌晨直播的陈锋告新京报记者,三千哥...
-
女主播演唱姐姐(隐退直播间近3年的薇娅,如今怎么样了?)2021年12月19日,薇娅直播间上架了47件商品,从那以后,这个超头直播间一直没能再度开播。沧海桑田,如今将近3年过去了,薇娅又在干什么呢?本期最人物纪就带大家去了解一下薇娅的现状!薇娅原名黄薇,1985年出生于安徽省合肥市庐江县的一户普通人家里。7岁时...
-
东京热女主播系列贴吧(日本最美混血女主播:名人二代收割机,42岁挺着孕肚嫁入豪门)前言不管在哪混迹政坛,除了看实力之外,民众最关心的事情可能就要数他们的私生活了吧,毕竟这也算半个“明星人物”了,他们的私生活,哪有人不好奇呢。这不,在2019年,日本前首相小泉纯一郎的儿子,政坛著名的“花花公子”小泉进次郎突然官宣结婚,而且...
-
女主播直播穿高跟鞋(旭旭宝宝连麦女主播性感热舞,不停飞吻,惨遭老婆查房)旭旭宝宝在直播的时候,总是喜欢在无聊之际,给大家连麦一些主播,让兄弟们不至于只看游戏太枯燥,虽然说旭旭宝宝连麦女主播的频率很低,但是也是会有几率连到,最近旭旭宝宝在直播的时候,就连麦到了一个男主播,但是这个男主播丝毫不给旭旭宝宝面子,...
-
鳝鱼女主播死了没(“黄鳝门”案一审宣判23人获刑,涉事女主播被判1年9个月)近日,浙江省诸暨市检察院以涉嫌传播淫秽物品牟利罪对“黄鳝门”事件23名被告人依法提起公诉,诸暨市法院一审依法判处其十年以下有期徒刑。黄鳝门事件的女主播琪琪也在被判刑人员当中,以传播淫秽物品牟利罪被判处有期徒刑一年九个月,并处罚金五万。这...