赵滨(引领骨科新纪元:髓内钉微创技术,重塑四肢骨折治疗新标准)
齐鲁晚报·齐鲁壹点 陈甜田 通讯员 赵滨
在骨科医学的浩瀚星空中,髓内钉技术犹如一颗璀璨的明珠,以其微创、高效、稳定的特性,为四肢骨折患者带来了福音。滨州市人民医院创伤外科在肱骨骨折、股骨粗隆间骨折、股骨粗隆下骨折、胫骨干骨折、胫骨多段骨折、腓骨骨折广泛应用髓内钉技术,为每一位骨折患者量身定制康复之路。
典型病例分享:

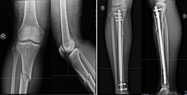
胫骨干骨折髓内钉固定

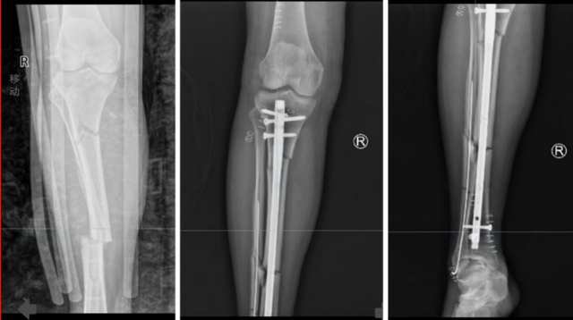
胫腓骨多端骨折胫骨髓内钉+腓骨弹性髓内钉固定

股骨粗隆间伴粗隆下骨折PFNA髓内钉内固定

肱骨骨折髓内钉内固定

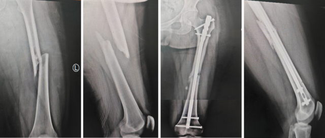
股骨干骨折顺行髓内钉内固定术

股骨干中远段骨折逆行髓内钉固定
髓内钉有以下优势
01
微创技术,减少创伤
髓内钉技术通过小切口插入,最大限度地减少了对周围软组织的损伤,术后恢复更快,疼痛更轻。这一微创特性,不仅加速了患者的康复进程,大大提升患者围手术期安全性,更在无形中提升了患者的生活质量。
02
中心固定,稳定性强
髓内钉直接作用于骨髓腔,提供了沿骨干长轴的稳定性,确保了骨折部位的精准对齐与快速愈合。其应力分散式固定方式,有效避免了应力遮挡,保护外骨膜及软组织附着,保护了骨折断端的血运,促进了骨痂的塑形,为患者的康复之路奠定了坚实的基础。
03
适应广泛,精准治疗
无论是肱骨、股骨还是胫骨,髓内钉技术都能凭借其多种尺寸和设计,精准适应不同类型和部位的骨折。从儿童到成人,从简单骨折到复杂粉碎性骨折,我们都能提供个性化的治疗方案,确保每位患者都能得到个性化的治疗。
04
生物力学优势,促进愈合
髓内钉的设计充分考虑了骨骼的生物力学特性,如应力分布和负载传递,从而提高了治疗效果。在髓内钉固定期间,骨折断端的微动效应还能促进成骨细胞的活性,加速骨折和周围骨痂的形成,进一步缩短了康复周期。
开拓进取 造福患者
滨州市人民医院创伤外科前身是始建于1979年的骨科,2002年形成独立的专业科室,现形成了具有自身特点和较高水准的专业科室。全科共有专业技术人员30人,其中主任医师3人,副主任医师3名,副主任护师1人,主治医师6人,主管护师8人,硕士研究生10人。科室以四肢、骨盆骨折为主要临床研究方向。年收治患者1600余人,手术1200余台,其中3、4级手术80%以上。科室医疗团队不断开拓进取,先后开展了多项国内领先技术,在严重创伤诊治、骨折微创治疗技术、高龄患者髋部骨折治疗及骨质疏松防治等方面积累了丰富的临床经验。科室护理团队积极提高服务质量及护理水平,在深静脉血栓预防、创伤、运动损伤术后康复指导等方面分别成立专研小组,为科室病人顺利康复提供了可靠的技术保障。
主要诊疗范围:1、四肢骨与关节严重损伤,骨盆及髋臼骨折、运动系统损伤的治疗;2、微创技术治疗四肢骨折;3、大段骨缺损、骨髓炎的治疗;4、股骨颈骨折股骨头置换术、全髋关节置换术,股骨粗隆间骨折微创治疗;5、老年患者骨折的手术治疗及术后快速康复治疗,骨质疏松治疗。
-
黄鳝女主播多大(“黄鳝门”事件侦破始末公开,涉事女主播两个月赚9万)2017年3月,一个被称为“黄鳝门”的事件一度被炒作成为一个沸沸扬扬的网络热点:直播平台上一名女主播把黄鳝塞入自己下体的淫秽色情视频引起网民热议, “黄鳝女”一时成为网络热搜关键词,虽然大多数的网站对视频的内容进行了封禁,但“黄鳝门”依旧成为...
-
两女主播拼酒视频(网红主播“三千哥”之死:拼酒直播为何没完没了)据多家媒体消息,5月17日凌晨,某知名短视频社交平台主播“三千哥”在直播时因饮酒过量而去世。5月21日中午,三千哥的朋友赵龙向新京报记者证实了此事,“我去参加了他的葬礼,这两天都没有睡好。”观看了三千哥5月17日凌晨直播的陈锋告新京报记者,三千哥...
-
女主播演唱姐姐(隐退直播间近3年的薇娅,如今怎么样了?)2021年12月19日,薇娅直播间上架了47件商品,从那以后,这个超头直播间一直没能再度开播。沧海桑田,如今将近3年过去了,薇娅又在干什么呢?本期最人物纪就带大家去了解一下薇娅的现状!薇娅原名黄薇,1985年出生于安徽省合肥市庐江县的一户普通人家里。7岁时...
-
东京热女主播系列贴吧(日本最美混血女主播:名人二代收割机,42岁挺着孕肚嫁入豪门)前言不管在哪混迹政坛,除了看实力之外,民众最关心的事情可能就要数他们的私生活了吧,毕竟这也算半个“明星人物”了,他们的私生活,哪有人不好奇呢。这不,在2019年,日本前首相小泉纯一郎的儿子,政坛著名的“花花公子”小泉进次郎突然官宣结婚,而且...
-
女主播直播穿高跟鞋(旭旭宝宝连麦女主播性感热舞,不停飞吻,惨遭老婆查房)旭旭宝宝在直播的时候,总是喜欢在无聊之际,给大家连麦一些主播,让兄弟们不至于只看游戏太枯燥,虽然说旭旭宝宝连麦女主播的频率很低,但是也是会有几率连到,最近旭旭宝宝在直播的时候,就连麦到了一个男主播,但是这个男主播丝毫不给旭旭宝宝面子,...
-
鳝鱼女主播死了没(“黄鳝门”案一审宣判23人获刑,涉事女主播被判1年9个月)近日,浙江省诸暨市检察院以涉嫌传播淫秽物品牟利罪对“黄鳝门”事件23名被告人依法提起公诉,诸暨市法院一审依法判处其十年以下有期徒刑。黄鳝门事件的女主播琪琪也在被判刑人员当中,以传播淫秽物品牟利罪被判处有期徒刑一年九个月,并处罚金五万。这...