可乐小汽车(34岁程序员竟“喝掉”一辆小轿车?医生:天天可乐一时爽,全口牙冠破产王)
每天3罐碳酸饮料起步

34岁的程序员阿强(化名)
竟喝到一口牙齿全被酸蚀
最后只能做全口牙齿美容
花了十几万人民币!
34岁程序员每天喝可乐
竟喝到全口牙齿变成“矮墩墩”
“唉,我真是后悔,不应该图一时爽就天天喝可乐。现在的年轻人,很多都喜欢喝可乐,但可不能像我这样,喝到全口换牙冠,那真是太糟糕了。”2020年9月初,进行全口牙齿美容已近四年的阿强来到浙大一院口腔科复诊,“治疗前,我的牙经常酸痛,根本没法咬东西,而且黄得没法看。还好经过治疗,现在已经可以正常吃东西,而且看着也整齐美观多了。”
阿强今年34岁,在杭州一家大型互联网企业做程序员。平时做软件研发工作的他,经常加班熬夜到凌晨2点以后,他熬夜时一直有个习惯,那就是喝可乐。“可乐简直就是醒脑神器!一罐下肚,人就不困了,干起活来很带劲。”不光是熬夜时喝可乐,平日里吃饭,他也是可乐不离手。“一天至少三四罐吧,最多的时候可能十几罐的样子,我都拿可乐当水喝的。”阿强从大学起就热爱可乐,这个习惯已经持续了十几年了。
“这个患者是2016年年底来的。天天喝可乐,牙齿酸蚀到这样严重的程度,我们也是几年才遇到这么一个。” 口腔修复科主治医师王伟博士说。关于牙齿为什么会被可乐等碳酸饮料酸蚀,他表示,这主要是因为,可乐等碳酸饮料含有大量的糖分,口腔内的细菌利用糖代谢产生酸,酸会腐蚀我们的牙齿,再加上碳酸饮料本身呈酸性,因此更容易引发牙釉质脱钙,齿色发黄发黑,进而牙齿质地变脆,出现龋坏、缺损等。
阿强治疗前的上颌与下颌牙齿
2016年12月初,牙齿酸痛到没法吃东西的阿强实在忍不了了,便来到浙大一院口腔科就诊。由于经常喝可乐,他的牙齿已经被碳酸腐蚀得只剩下正常牙齿一半的高度,一口牙黄黄的,而且只要一张嘴,他位于耳后的颞下颌关节还会嘎吱作响,像一扇合页坏掉的老木门一样。接诊的王伟主治医师说:“你这是牙齿酸蚀症,已经很严重了,需要全口换牙冠,治疗周期大概半年。以后可千万别再喝这么多可乐了。”
半年治疗花了十几万
终于收获一口靓丽白牙
阿强:再也不喝可乐了!
2016年12月底,阿强开始了全口牙齿酸蚀症的治疗。由于牙齿已经被碳酸腐蚀得只剩下正常牙齿一半的高度,正常的咬合关系已经被破坏,所以阿强吃东西时需要非常用力地咬,导致颞下颌关节经常嘎吱作响。
为了重建正常的咬合关系,王伟为他量身定制了塑胶合垫,固定在他的后方磨牙上,垫高牙齿,使颞下颌关节前移,回到正常的位置;戴了2个月的合垫后,又为他定制了树脂的临时牙,以适应复位后的正常咬合关系。又过了3个月,阿强颞下颌关节紊乱的毛病终于治好了,接下来就是做牙冠的环节了。
阿强的牙齿被碳酸酸蚀得非常严重,牙齿表面矿物质钙化,牙体变得很脆且不耐磨,仅剩牙根和少量牙冠可以保留。因此,上下各6颗门牙都需要做贴面,也就是在每一颗被酸蚀的门牙外侧都装上一副烤瓷“盾牌”。此外,他其余所有的牙齿也都需要做牙冠。所谓牙冠,就是相当于为每一颗被酸蚀的牙齿都套上一副坚固的烤瓷“盔甲”。这些“盾牌”和“盔甲”,不仅看起来足以“以假乱真”,还相当舒适耐用。

量身定制的门牙贴面
历经1个月的定制和调整,阿强的全口烤瓷冠+门牙贴面终于做好了,前后一共花了十几万元人民币,抵得上一辆小轿车了。

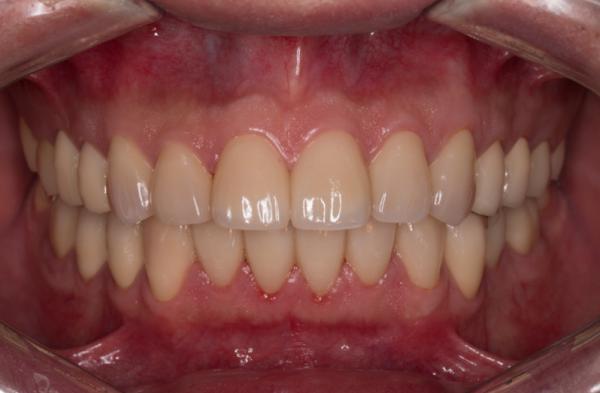
阿强治疗完成约一年后的牙齿
“我以后再也不喝可乐了,真是受罪又花钱!”阿强感叹道。“不光是不能喝可乐,像山核桃、小龙虾钳这样的硬物,今后也要少咬,以防牙冠断裂。”王伟嘱咐道。
专家:少喝碳酸饮料,避免牙齿酸蚀
浙大一院口腔科主任朱慧勇主任医师表示,近年来,我国成人与青少年牙酸蚀症发病率逐渐升高,这主要与碳酸饮料摄入增加有关,口腔科每个月都会接诊十几例牙齿酸蚀症患者。
“通常pH值是反映酸碱度的直接指标,口腔内环境的pH值是口腔健康的重要参考。造成牙釉质脱矿的口腔内临界pH为5.5。碳酸饮料、柑橘类酸性食物pH值低、含糖量较高,可将口腔pH值降低至釉质脱矿的临界pH值以下,对牙齿表面造成直接腐蚀、破坏,从而引发酸蚀症。”口腔科副主任顾新华主任医师表示,“此外,酸蚀症早期症状不明显,易被忽视。因此,很容易拖到比较严重,建议成人及儿童落实‘减糖’策略,减少碳酸饮料的摄入,日常生活中选择用水代替饮料。”
口腔健康,还应注意这些
2020年9月20日是第32个“全国爱牙日”。今年的宣传主题是“口腔健康 全身健康”,副主题是“均衡饮食限糖减酸 洁白牙齿灿烂微笑”。平时生活中到底该怎么保护口腔健康?就让我们一起听听国家卫生健康委专家们的建议吧!
1
平衡膳食模式,饮食多样均衡
口腔疾病与许多慢性病存在共同致病因素。例如,过量摄入高糖、高脂肪、高盐、低纤维的食物,不仅与冠心病、脑卒中、糖尿病、癌症、肥胖有关,也和龋病、牙周病等口腔疾病密切相关。建立健康的膳食模式,可以同时预防全身疾病和口腔疾病。
建议平均每天至少摄入12种、每周25种以上食物,多吃五谷杂粮蔬菜水果。这些富含维生素、矿物质、膳食纤维的食物有利于预防心血管疾病、糖尿病、肥胖等慢性病,也有利于牙齿的发育和预防龋病、牙周病、牙酸蚀症和口腔癌等口腔常见病。
2
科学鉴别糖类,远离添加糖
糖分为非游离糖和游离糖。
非游离糖对身体危害较小,是指天然存在于新鲜水果中的果糖、蔬菜中的糖和奶类中的乳糖及谷薯类中的淀粉。
游离糖对身体危害较大,常分为两种:
一种是存在于纯果汁、浓缩果汁及蜂蜜中的糖。由于完整水果中的糖由一层植物细胞壁包裹,消化过程更缓慢,所以新鲜完整的水果不易致龋,但水果制成果汁后成为游离糖,致龋性就会增加。
另一种游离糖是指在食品生产、制备、加工中,添加到食品中的蔗糖、葡萄糖和果糖及糖浆,也称添加糖。添加糖不仅存在于饮料、糖果、蛋糕、饼干、甜点、蜂蜜、糖浆、蜜饯等甜味零食中,还可能隐藏在“不甜”的加工食品中,如番茄酱、酸奶、咖啡、膨化食品、芝麻糊、核桃粉、话梅等。摄入过多可降低其他低热量营养食品的摄入及吸收,破坏膳食平衡,导致能量过剩、体重增加、肥胖及糖尿病风险增加。
3
多吃瓜果蔬菜,减少烟酒槟榔
瓜果蔬菜含有很多膳食纤维,而膳食纤维是人体很重要的纤维素,经常进食富含钙、维生素C、纤维素的新鲜蔬菜水果、奶制品及全谷物,可增加咀嚼活动,减少菌斑滞留,促进牙周健康,预防牙周病,同时可以预防龋病、粘膜病及口腔癌。
吸烟是引起口腔癌的主要危险因素,90%以上的口腔癌患者是吸烟者,因为烟草与烟气中含有多种有害物质可导致和促进癌症发生。饮酒则容易引发舌癌与口底癌,因为酒与舌和口腔底部的黏膜反复接触,引起黏膜烧伤、增加对致癌物质的吸收,酒精含量越高,致癌的危险性越大。“槟榔果”已经被世界卫生组织列为一级致癌物,咀嚼槟榔是口腔癌的重要危险因素。
4
提倡母乳喂养,健康饮食习惯
母乳是婴儿最好的天然食品,它具有热量高、富含婴儿需要的各种营养素、有利婴儿的消化、吸收和抵抗疾病等诸多优点。人类的全部乳牙和大部分的恒牙都在婴幼儿时期形成和钙化,这个时期也是身体快速生长发育期。建议纯母乳喂养到婴儿6个月,之后结合辅食添加情况,母乳喂养可延长至2岁或以内。婴儿食物或饮料中不应添加糖,否则可能会让婴儿养成甜食嗜好。
5
不要带着口腔疾病怀孕
一旦妇女已经怀孕,那么在怀孕早期和晚期接受复杂口腔治疗,会因为紧张和疼痛等因素,增加胎儿流产或早产的风险。因此,女性在计划怀孕前就应主动接受口腔健康检查,及时发现并处理口腔内的疾病或隐患,避免在怀孕期间可能因为发生口腔急症,而带来的治疗不便和风险。
6
清洁口腔很重要,刷牙漱口用牙线
饮食和细菌是导致龋病和牙周疾病的最重要因素,因此清除牙菌斑是维护口腔健康的基础。刷牙能去除牙菌斑、软垢和食物残渣,保持口腔卫生,维护牙齿和牙周组织健康。含氟牙膏是目前世界上公认的最安全、简便、低成本且有效的龋病预防措施,牙齿萌出后就可以使用含氟牙膏,为确保安全性和有效性,建议0-3岁婴幼儿使用氟浓度为500-1100mg/kg的含氟牙膏,每次用量为米粒大小(15-20毫克);3-6岁儿童含氟牙膏用量为豌豆大小;6岁以后及成人含氟牙膏用量为黄豆大小即可。
刷牙清除牙菌斑数小时后,菌斑就可以在清洁的牙面上重新附着,不断形成。特别是夜间入睡后,唾液分泌减少,口腔自洁作用差,细菌更容易生长。因此,每天至少要刷牙两次,晚上睡前刷牙更重要。提倡用水平颤动拂刷法刷牙,刷牙时牙刷刷毛不能完全伸及牙缝隙,如果在每天刷牙后,能够配合使用牙线或牙缝刷等帮助清洁牙缝隙,可以达到彻底清洁牙齿的目的。
声明:转载此文是出于传递更多信息之目的。若有来源标注错误或侵犯了您的合法权益,请作者持权属证明与本网联系,我们将及时更正、删除,谢谢。
-
全域智慧 双车齐发!瑞驰汽车卡系双子星C5|C3于2025世界智博会开启预售了!9月5日,为积极响应国家新能源与智能网联汽车发展战略,瑞驰汽车率先推进商用车智慧转型,于2025世界智能产业博览会这一全球性舞台上,正式开启旗下卡系双子星——全域超增智慧新卡瑞驰C5与全能智慧新卡瑞驰C3的预售。智博会以“智汇八方·博采众长”为主题...
-
全域智慧 双车齐发!瑞驰汽车卡系双子星C5/C3于2025世界智博会开启预售了!9月5日,为积极响应国家新能源与智能网联汽车发展战略,瑞驰汽车率先推进商用车智慧转型,于2025世界智能产业博览会这一全球性舞台上,正式开启旗下卡系双子星——全域超增智慧新卡瑞驰C5与全能智慧新卡瑞驰C3的预售。智博会以“智汇八方·博采众长”为主题...
-
全域智慧 双车齐发!瑞驰汽车卡系双子星C5/C3于2025世界智博会开启预售了9月5日,为积极响应国家新能源与智能网联汽车发展战略,瑞驰汽车率先推进商用车智慧转型,于2025世界智能产业博览会这一全球性舞台上,正式开启旗下卡系双子星——全域超增智慧新卡瑞驰C5与全能智慧新卡瑞驰C3的预售。智博会以“智汇八方·博采众长”为主题...
-
全域智慧 双车齐发!瑞驰汽车卡系双子星C5/C3于2025世界智博会开启预售!9月5日,为积极响应国家新能源与智能网联汽车发展战略,瑞驰汽车率先推进商用车智慧转型,于2025世界智能产业博览会这一全球性舞台上,正式开启旗下卡系双子星——全域超增智慧新卡瑞驰C5与全能智慧新卡瑞驰C3的预售。智博会以“智汇八方·博采众长”为主题...
-
全域智慧 双车齐发!瑞驰汽车卡系双子星C5/C3于2025世界智博会开启预售9月5日,为积极响应国家新能源与智能网联汽车发展战略,瑞驰汽车率先推进商用车智慧转型,于2025世界智能产业博览会这一全球性舞台上,正式开启旗下卡系双子星——全域超增智慧新卡瑞驰C5与全能智慧新卡瑞驰C3的预售。智博会以“智汇八方·博采众长”为主题...
-
瑞驰汽车亮相2025世界智博会,以五大自研技术引领商用车智慧生态9月5日,2025世界智能产业博览会在重庆国际博览中心盛大开幕。瑞驰汽车凭借"智慧安全、智慧高效"的品牌价值,从众多企业中脱颖而出,获邀参展。作为全域智慧新能源商用车领域的重要参与者和推动者,瑞驰汽车以“全域智慧 引领未来”为主题,携旗下多款全域...