-
安子轩热(小说:她为自己点了个赞,真是天无绝人之路,她总算能赚钱了)子轩没有再问什么,他端着鱼肉和红薯就往后院跑 。安悠然只当是现在不能正面去赵翠翠那边,安子轩肯定是从狗洞把饭菜给渣男送过去。今天是有饭吃了,那以后又怎么办?总不能天天吃鱼,也需要主食的。鱼,对啊,她可以...
2025-02-22 9 -
俞灏明烧伤(一场意外,改变了Selina和俞灏明的人生。)2010年10月22日下午,Selina和俞灏明在上海拍摄电视剧《我和春天有个约会》一场爆破戏时两人出现意外被烧伤,马上送往上海瑞金医院急救。Selina手脚严重受伤,而俞灏明烧伤面积竟达达35%。俞灏明和任家萱事情烧伤的经过。“原...
2025-02-22 10 -
亚基拉(《头号玩家》内地首周末票房388亿 成全球最大票仓)由华纳兄弟影片公司出品,金奖名导史蒂文·斯皮尔伯格执导的科幻动作冒险巨制《头号玩家》已于3月30日在中国内地与北美同步上映。目前,影片在豆瓣以9.1的超高评分开局,彰显强大口碑。而票房的表现更加强势。首日票房就...
2025-02-22 9 -
-
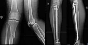
赵滨(引领骨科新纪元:髓内钉微创技术,重塑四肢骨折治疗新标准)齐鲁晚报·齐鲁壹点 陈甜田 通讯员 赵滨在骨科医学的浩瀚星空中,髓内钉技术犹如一颗璀璨的明珠,以其微创、高效、稳定的特性,为四肢骨折患者带来了福音。滨州市人民医院创伤外科在肱骨骨折、股骨粗隆间骨折、股骨粗隆...
2025-02-22 10 -
巴斯塔(乌克兰给俄防长发“传票”:2天内必须到,俄:绍伊古开坦克去)文/肥佬茄子乌克兰的综合实力有目共睹,但就这么个弹丸小国,有了美国的支持,居然敢公开和俄罗斯叫板。就在最近,乌克兰公开“传唤”俄罗斯国防部长,引来的却是外界的一顿嘲笑。据环球网援引俄罗斯卫星通讯社7月19日...
2025-02-22 11 -
陶大宇三级(陶大宇近照憔悴,在TVB红了近20年,如今丢了事业与人气)陶大宇,因为饰演《刑事侦缉档案》的张大勇警官而红极一时。彼时是1995年,32岁的陶大宇目光温柔,举止优雅,单从颜值上就能圈下不少粉丝。再加上他传神的演技,把智勇双全且用情专一的张大勇演绎得非常生动,让观众留...
2025-02-22 10 -
爱我就别想太多免费观看(爱我就别想太多在线观看全集 爱我就别想太多1-41集完整版免费看)都市爱情喜剧《爱我就别想太多》将于6月25日起登陆北京卫视品质剧场,每晚19:30播出。该剧由上海广目天影视、华娱时代影业、天韵嘉和文化、浙江天意影视、北京老有影视、上海榕树影业、阿里巴巴、安徽九一文化、安徽百...
2025-02-22 9 -
猫头鹰剧场(“八角亭”今日上线,迷雾剧场今年将带来哪些案子)澎湃新闻记者 高丹10月13日,爱奇艺迷雾剧场的第六部作品《八角亭谜雾》将上线,由此也开启2021年新一季的迷雾剧场。今年将推出四部剧集,分别是《八角亭谜雾》《谁是凶手》《淘金》《致命愿望》。延续迷雾剧场的风格,...
2025-02-22 10 -
河伯的新娘(血河新娘)
第一章 遗照里的红嫁衣越野车碾过最后一块界碑时,仪表盘突然爆出刺耳的蜂鸣。我猛踩刹车,车灯划破的黑暗里,褪色的 "封门村" 木牌正在老槐树上摇晃,树皮上密密麻麻刻着指甲抓挠的痕迹。"陈哥,直播设备有干...
2025-02-22 10